เพราะรอยยิ้มคือเสน่ห์ของใบหน้า การมีฟันที่ไม่เรียงสวย ไม่ว่าจะมีฟันขนาดเล็กไม่สมส่วนกับเหงือก ฟันแตก มีช่องว่างระหว่างฟันมากเกินไป ปัญหาเหล่านี้อาจทำให้เสียความมั่นใจจนไม่กล้ายิ้ม แต่ในปัจจุบันเราสามารถออกแบบรอยยิ้มให้สวยได้ดั่งใจ มีฟันสวยอย่างเป็นธรรมชาติได้ ด้วยการทำ ‘วีเนียร์’
วีเนียร์คืออะไร
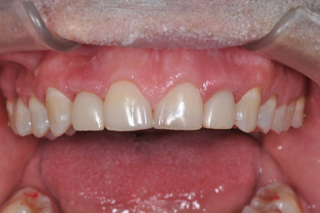
วีเนียร์ (Veneer) คือ การเคลือบฟัน หรือที่มักจะเรียกกันว่า การแปะฟันขาว เป็นการเคลือบผิวฟันโดยการใช้วัสดุที่มีความบาง ติดที่บริเวณด้านหน้าของฟัน มีสีและรูปร่างใกล้เคียงกับฟันจริง ไม่เพียงแต่แก้ปัญหาสีฟันได้แล้ว ยังแก้ปัญหาฟันไม่สวยได้อีกด้วย เช่น ฟันแตก ฟันบิ่น ฟันมีขนาดเล็ก เป็นการออกแบบรอยยิ้มด้วยการออกปรับรูปฟันให้ดูสวยอย่างเป็นธรรมชาติ
วีเนียร์แก้ปัญหาฟันแบบไหนได้บ้าง

ฟันมีขนาดเล็ก
คนที่มีขนาดฟันเล็ก หรือมีฟันเตี้ย ทำให้เหงือกดูเยอะกว่า สามารถแก้ปัญหาได้ด้วยการทำวีเนียร์ ซึ่งการทำวีเนียร์จะช่วยเติมรูปฟันให้มีขนาดใหญ่หรือยาวขึ้น ดูสมส่วนกับขนาดของเหงือก

ฟันเรียงตัวไม่สวย
คนที่มีฟันเรียงตัวไม่สวย ฟันเรียงไม่เสมอกัน มีฟันซ้อน ฟันบิด ปัญหานี้นอกจากปรับได้ด้วยวิธีการจัดฟันแล้ว การทำวีเนียร์ก็สามารถแก้ปัญหาฟันเรียงตัวไม่สวย ให้ดูเรียงสวยเป็นธรรมชาติได้

ฟันห่าง หรือมีช่องว่างระหว่างฟัน
คนที่มีฟันห่าง มีช่องว่างระหว่างฟัน ฟันไม่ชิดกัน หากไม่ต้องการจัดฟัน สามารถทำวีเนียร์เพื่อเติมช่องว่างระหว่างฟันได้ ทำให้ฟันดูเต็มสวย เรียงชิดกันได้เหมือนฟันจริง

ฟันบิ่น หรือฟันแตก
คนที่มีฟันบิ่น มีฟันไม่เต็มซี่ ตั้งแต่กำเนิด หรือคนที่เกิดอุบัติเหตุทำให้ฟันแตก สามารถเติมฟันให้กลัยมาเต็มซี่ได้ ด้วยการทำวีเนียร์

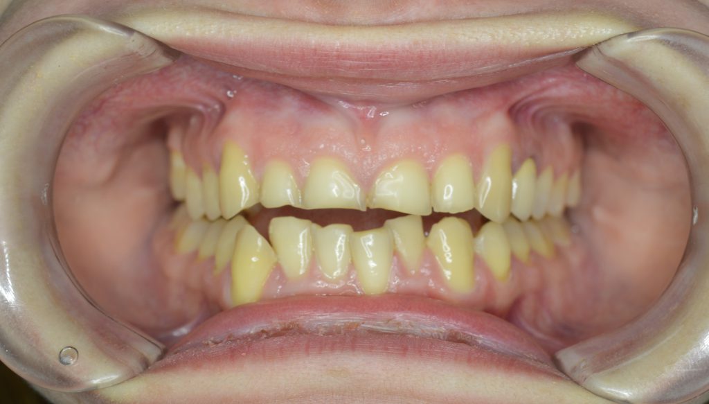
ฟันสึก
คนที่มีปัญหาฟันสึก จากการบดเคี้ยวอาหาร หรือจากอายุที่เพิ่มขึ้น ทำให้ฟันดูสุขภาพไม่ดี ปลายฟันไม่เสมอกัน ฟันไม่เรียงสวย สามารถแก้ได้ด้วยการทำวีเนียร์ เติมรูปฟันให้เรียงสวยดูสุขภาพดีเหมือนวัยหนุ่มสาวได้อีกครั้ง

รูปร่างของฟันผิดปกติ
คนที่มีรูปร่างฟันผิดปกติ เช่น มีฟันขนาดเล็ก-ใหญ่ไม่สมดุลกัน อาจมีฟันหนึ่งซี่เล็กผิดปกติกว่าซี่อื่น ๆ หรือขนาดของฟันมีความสั้น-ยาว ไม่เท่ากัน ฟันดูเบี้ยวไปทางใดทางหนึ่ง เป็นต้น สามารถแก้ปัญหาได้ด้วยการทำวีเนียร์ ปรับรูปฟันให้ฟันมีขนาดที่เท่ากันได้ ดูเรียงสวย สมดุลอย่างเป็นธรรมชาติ

สีฟันเข้ม
การทำวีเนียร์ นอกจากจะแก้ปัญหารูปฟันผิดปกติแบบต่าง ๆ ได้แล้ว ยังสามารถแก้ปัญหาสีฟันได้อีกด้วย เช่น คนที่มีฟันเหลือง มีสีฟันเข้ม สีฟันไม่เสมอกัน ฟันมีคราบที่เกิดจากชา กาแฟ การสูบบุหรี่ ทำให้ดูไม่สวยงาม เป็นต้น ซึ่งการทำวีเนียร์จะเป็นการนำวัสดุแผ่นบางไปเคลือบฟัน สามารถเลือกสีของวีเนียร์ได้ ให้ฟันดูขาวสะอาดได้อย่างเป็นธรรมชาติ และการเลือกทำวีเนียร์แบบเซรามิก สีของวีเนียร์จะมีความคงทน ไม่เปลี่ยนสี และไม่เกิดคราบชากาแฟอีกด้วย
วีเนียร์อยู่ได้นานแค่ไหน
การทำวิเนียร์มีความแข็งแรงใกล้เคียงกับฟันจริง ๆ สามารถอยู่ได้นานถึง 10-15 ปี หรือมากกว่า ขึ้นอยู่กับการดูแลสุขภาพฟันของคนไข้ และหากมีการแตกบางซี่ ก็สามารถทำใหม่เฉพาะซี่ที่แตกได้ แต่อย่างไรก็ตาม การทำวีเนียร์ที่คงทน และให้ผลลัพธ์ที่ดี ต้องมีการวางแผนการรักษาที่ดีโดยทันตแพทย์ผู้เชี่ยวชาญ มีการติดตั้งวีเนียร์ที่ได้มาตรฐานด้วยนะคะ
หากท่านใดมีคำถามเกี่ยวกับการทำวีเนียร์ หรือกำลังมองหาคลินิกที่ได้มาตรฐาน มีแพทย์ที่เชี่ยวชาญเฉพาะทาง ต้องการปรึกษา สามารถติดต่อสอบถาม Dental Life Clinic ได้เลยนะคะ
410 /118 ซอยรัชดาภิเษก 22 ถนนรัชดาภิเษก
แขวงสามเสนนอก เขตห้วยขวาง กรุงเทพมหานคร 10310
โทร : 02-938-9178, 083-070-5955
Line : dentallifeclinic22

